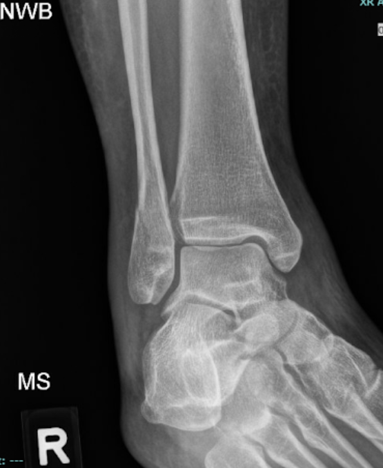
A 21-year-old female presents to the emergency room after falling from dancing on a table and injuring her right ankle. She is in severe pain and unable to bear weight comfortably with swelling and tenderness along the lateral malleolus. X-rays are taken and shown above.






