SOS Cases Recent Articles
SOS
January 31, 2026
Shoulder
A 55-year-old female presents after a fall at home. She is complaining of new shoulder pain and holding her arm in an abducted and externally rotated position. You grab your ultrasound for a quick, noninvasive (and sensitive!) evaluation.
Read More...
Shoulder
December 27, 2025
Chest
A 62-year-old male presents with left shoulder/chest pain after falling and landing on the left shoulder. He has pain in the upper chest and describes a deformity.
Read More...
Chest
November 29, 2025
Wrist
A 47-year-old female notes radial wrist pain for a few weeks after caring for her newborn.
Read More...
Wrist
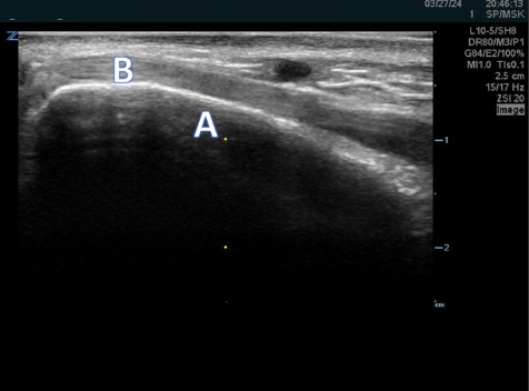
October 25, 2025
Shoulder
A 54-year-old female presents with left shoulder pain. She has been having pain with overhead movements. To assist with diagnosis, you opt to perform an ultrasound. You obtain the image below.
Read More...
Shoulder
August 30, 2025
Lateral Knee
A 57-year-old male notes lateral knee pain after playing tennis. You perform an ultrasound and obtain the image below.
Read More...
Lateral Knee
July 26, 2025
Elbow
A 65-year-old male presents with right elbow pain. He noticed sudden pain and swelling while doing a weighted exercise. You perform an ultrasound and obtain the image below. What is your diagnosis?
Read More...
Elbow
June 28, 2025
Wrist
A 45-year-old woman presents to the ED with right wrist pain. She notes she fell forward and landed on an outstretched hand 3 days ago. You decide to ultrasound the area of concern.
Read More...
Wrist
May 31, 2025
Lower Leg
A 65-year-old male presents with left calf pain after playing tennis. He felt pain along his medial calf when lunging forward for a hit. You decide to ultrasound the area of concern.
Read More...
Lower Leg
April 26, 2025
Dorsal Wrist
A 65-year-old male presents with left wrist pain. He has noted swelling to his left wrist for the past several days. You perform an ultrasound and notice an effusion. To assist with diagnosis, you opt to perform a wrist arthrocentesis. Ultrasound can be a great tool to assist with arthrocentesis. Can you name the structures seen?
Read More...
Dorsal Wrist
March 29, 2025
Anterior Knee
A 55-year-old female presents with right knee pain after a misstep and twisting knee injury. She has swelling and deformity of her knee and difficulty extending the knee. You obtain an ultrasound image given the difficult exam.
Read More...
Anterior Knee
February 22, 2025
Superior Knee
A 55-year-old male presents with right knee pain after a ski accident. She has swelling of her knee and difficulty bearing weight. You obtain an ultrasound image given the difficult exam.
Read More...
Superior Knee
January 27, 2025
Regional Anesthesia Interscalene Block
A 27-year-old male presents with left shoulder pain after falling down a flight of stairs and trying to grab onto a railing to catch himself. He has an obvious deformity to his left shoulder, and is holding his arm in abduction and internal rotation.
Read More...
Regional Anesthesia Interscalene Block
December 28, 2024
Regional Anesthesia Upper Extremity
A 24-year-old male presents after a high-energy ATV rollover. He presents with a gross deformity to his forearm.
Read More...
Regional Anesthesia Upper Extremity
November 23, 2024
Regional Anesthesia Lower Extremity Part 1
A 67-year-old male with diabetes stepped on a metal object and is complaining of ongoing heel pain. You obtain the below X-ray.
Read More...
Regional Anesthesia Lower Extremity Part 1
October 26, 2024
Regional Anesthesia Hip
An 83-year-old female from a nursing home had a witnessed fall. She is brought in with severe R hip pain, and her leg is shortened and externally rotated. She is found to have a R femoral neck fracture. You decide to perform a fascia iliaca block for pain control.
Read More...
Regional Anesthesia Hip
September 28, 2024
Anterior Knee
A 71-year-old female presents with right knee pain after falling and landing directly on her knee. She has swelling over her knee. You obtain an ultrasound image over the area of most concern.
Read More...
Anterior Knee
August 24, 2024
Anterior Elbow
A 67-year-old male is complaining of left upper arm swelling after lifting a heavy object. He has noted a deformity to his upper arm. You obtain an ultrasound image over the area of most concern.
Read More...
Anterior Elbow
May 25, 2024
Finger/Digit
A 45 year old male is complaining of swelling and finger pain. He has noted redness of finger and pain with extension. You obtain an ultrasound image over the area of most concern.
Read More...
Finger/Digit
May 04, 2024
Distal Wrist
A 43-year-old male is complaining of right shoulder pain after a fall playing pickup soccer. You obtain an ultrasound image (Image 1) of the area with the findings below. What is your diagnosis? Can you identify the structures? A comparison image (Image 2) of the left unaffected shoulder is also provided.
Read More...
Distal Wrist
March 23, 2024
Shoulder
A 43-year-old male is complaining of right shoulder pain after a fall playing pickup soccer. You obtain an ultrasound image (Image 1) of the area with the findings below. What is your diagnosis? Can you identify the structures? A comparison image (Image 2) of the left unaffected shoulder is also provided.
Read More...
Shoulder
January 27, 2024
Finger/Digit
A 25 year old female is complaining of thumb pain after falling during a ski run. You obtain a longitudinal image of the ulnar thumb in normal and stress views with the following findings.
Read More...
Finger/Digit
December 23, 2023
Anterior Hip
A 76-year-old female fell from standing onto her left side. She is complaining of left hip pain.
Read More...
Anterior Hip
November 25, 2023
Posterior Shoulder
A 55 year old female presents after a fall at home. She is complaining of new shoulder pain and holding her arm in an abducted and externally rotated position. You grab your ultrasound for a quick, noninvasive (and sensitive!) evaluation and see the following:
Read More...
Posterior Shoulder
October 28, 2023
Thorax/Rib
A 57-year-old male presents after a fall onto his left side. An ultrasound is performed along the 7th rib where he is point tender.
Read More...
Thorax/Rib
September 23, 2023
Inferior Knee
Can you name the structures in this longitudinal inferior knee ultrasound image? This image was captured by placing a linear probe in a cranial-caudal plane in the anterior aspect of the knee below the patella.
Read More...
Inferior Knee
August 28, 2023
Posterior Ankle
A patient comes in complaining of ankle pain after playing soccer. He thinks someone may have kicked him in the back of his foot.
Read More...
Posterior Ankle