Weekly Cases Recent articles
Weekly Cases
September 25, 2025
Walking with Swagger
A 5-year-old male is brought into the emergency department by his father after his father noted that he has been limping for the past few weeks. The patient endorses mild pain in the left hip with no other systemic symptoms. You note decreased internal rotation and abduction of the hip on exam and laboratory workup is unremarkable.
Read More...
Walking with Swagger
September 17, 2025
Show me your middle finger.. I can’t - it’s numb
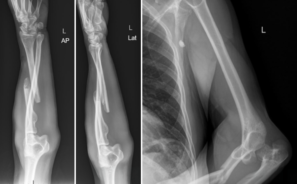
A 31-year-old male presents as a trauma after a 15 foot fall off of a ladder, landing on his outstretched right upper extremity. He has significant tenderness over his right wrist and sensation deficits of his right 3rd – 5th digits.
Read More...
Show me your middle finger.. I can’t - it’s numb
September 03, 2025
Plant and Pop
A 39-year-old male presents with left medial calf pain. While playing dodgeball, he planted his left foot to throw and felt an immediate pop with pain and swelling within hours of the injury.
Read More...
Plant and Pop
August 27, 2025
I Felt a Pop and My Elbow Hurts...
A 13-year-old male presents with acute onset of medial elbow pain after throwing a football, at which time he felt a ‘pop’ and is now unable to fully extend at the elbow. He is tender to palpation at the medial epicondyle. He has a history of Little Leaguer’s Elbow.
Read More...
I Felt a Pop and My Elbow Hurts...
August 20, 2025
Pop Goes the Knee
Pop Goes the Knee Author: Tyler Jackson, MD, CAQ-SM Peer-reviewer: Terese Whipple, MD, CAQ-SM Final editor: Alex Tomesch, MD, CAQ-SM A 25-year-old male presents with right knee pain after a bicycle accident in which his knee twisted after planting his foot while falling off the bicycle. He also reports his knee occasionally “locks” when trying to ambulate since the injury. ROM is restricted with knee extension and flexion. Image 1 and 2. MRI R Knee (Sagittal and Axial PD) Case courtesy of Dr. Varun Babu, Radiopaedia.org, rID: 56916 References: [1][ Chambers HG, Chambers RC: The natural history of meniscus tears . J Pediatr Orthop. 2019, 39:53-5. [2] Jarraya M, Roemer FW, Englund M, et al.: Meniscus morphology: does tear type matter? A narrative review with focus on relevance for osteoarthritis research. Semin Arthritis Rheum. 2017, 46:552-61. [3] Esparragoza-Montero R, Rodriguez-Diaz J, Lanier- Dominguez J, et al. Evaluation of meniscal morphology and relation between the diagnostic findings of magnetic resonance imaging and arthroscopy in lesions of the knee. Invest Clin 2009;50(1): 35-44.
Read More...
Pop Goes the Knee
August 13, 2025
Cartilage or Crack?
A 13-year-old male presents to the urgent care after rolling his left ankle while playing soccer. He now has pain and swelling around the outside of his foot and can’t bear weight on it. X-rays are taken and shown below:
Read More...
Cartilage or Crack?
August 06, 2025
What's the Scoop?
A 13-year-old obese female has had a limp for 3.5 weeks. Her x-ray is shown below.
Read More...
What's the Scoop?
July 30, 2025
Does Your Toe Hurt That Much?
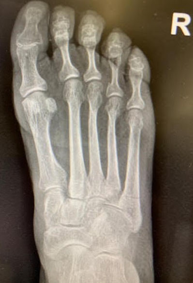
A 22 year old football player limps to the sideline after catching a sideline pass requiring him to land on his toes to complete the catch in bounds. Now he is complaining of pain at his right 1st MTP saying that he thinks his “toe popped out”.
Read More...
Does Your Toe Hurt That Much?
July 23, 2025
Knee Went Out
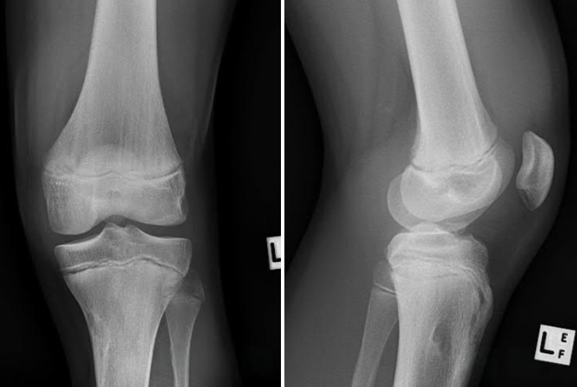
32-year-old male was doing a 425 lbs back squat and felt a painful “pop” in his anterior right knee above the kneecap and dropped to the ground. He has been unable to walk and his knee is extremely swollen. X-rays are read as normal but he cannot extend his knee on exam.
Read More...
Knee Went Out
July 16, 2025
The Swelling That Would Not Go Away
A 34-year-old male patient presents to the emergency department due to a progressively expanding mass on his left buttock. Two months prior to this visit, the patient had been injured in a motorcycle collision. Computed Tomography (CT) performed on the day of his initial injury showed a non-specific fluid infiltration over the left iliac crest, lower back, and buttock, without a large fluid collection, considered to be hematoma. On his second visit, there was a firm and tender mass measuring approximately 21 x 18 cm with overlying erythema on the left buttock. The patient reported progressive enlargement of this mass over the prior months and sensitivity to light touch. Vital signs were noted to be stable. CT with contrast as well as Magnetic Resonance Imaging (MRI) were performed.
Read More...
The Swelling That Would Not Go Away
July 09, 2025
Jump, Land, and Tear
A 32-year-old male patient presented to the emergency department due to left knee pain. He was playing basketball when he came down from a vertical jump onto his left leg. He stated his kneecap appeared to be displaced laterally. On examination, patient had decreased range of motion of the left knee, tenderness on palpation of the lateral and medial aspect of the knee, and he was unable to extend his knee.
Read More...
Jump, Land, and Tear
July 02, 2025
Running on Empty
A 20-year-old female presents to the ED for evaluation of hip pain that has been progressively worsening over the last month. She has been feeling sharp pain in both hips for the last 4 months during daily runs, which have been consistently 8-10 miles. She is now reporting constant pain in her bilateral hips even at rest for the past 2 weeks. Denies any falls or trauma.
Read More...
Running on Empty
June 25, 2025
Don’t Go Breaking My Heart
A 45-year-old male presents to the emergency department with chest pain after a high-speed motor vehicle accident where his chest hit the steering wheel. He is complaining of central chest pain and there is ecchymosis noted over his sternum.
Read More...
Don’t Go Breaking My Heart
June 18, 2025
It’s all Spine
A 38-year-old male presents with acute on chronic low back pain. On arrival, he has a fever, 3+/5 strength of the right leg, and 5/5 strength on the left. Sensation to light touch in his bilateral lower extremities is intact with a positive straight leg test bilaterally.
Read More...
It’s all Spine
June 11, 2025
Tri Not to Fall
A 21-year-old male fell off an ATV while riding up a hill. He presents with right wrist pain and no other complaints. Right wrist exam demonstrates mild swelling of the dorsum of the hand and tenderness over the ulnar aspect of the wrist. Neurovascular intact.
Read More...
Tri Not to Fall
June 04, 2025
Kneed to Know
A 17-year-old male with no significant medical history presenting with 3 days of left knee pain after playing soccer at school. He was kicked in the left knee and felt a sudden shift in his knee followed by pain. On extension of his knee, he felt a snapping sensation with improvement to symptoms. He has continued to have worsening pain and redness despite rest. Of note, he had a similar injury years ago and was never evaluated at the time.
Read More...
Kneed to Know
May 28, 2025
C1, Do One, Teach One
A 16-year-old high school football player presented to the ER after being tackled and contacting helmet-to-ground. He was diagnosed with a concussion by a sideline physician . The patient noted dizziness, foggy thinking, and neck stiffness that he had difficulty localizing, but he and parents felt his symptoms were improving. He remained on the sideline and was ambulatory until the conclusion of the game, but as he cooled down his neck became stiff and painful, prompting ER evaluation. Patient denied any radiating symptoms or loss of consciousness. Physical exam was remarkable for pain at terminal flexion and extension, glazed over appearance, but strength and sensation intact.
Read More...
C1, Do One, Teach One
May 21, 2025
Skier Vs. Tree
A 19-year-old female presents to the ER via EMS after running into a tree while skiing. She says she swerved to avoid a fallen friend, skied off the trail, and hit a tree directly with her back. She has pain in her lumbar spine, but denies any numbness, tingling, or weakness. She says she cannot walk secondary to the pain. Her physical exam is notable for lumbar spine tenderness, with a normal distal neurovascular exam.
Read More...
Skier Vs. Tree
May 14, 2025
Small Jumps, Big Breaks
A previously healthy 7 year old male was downhill skiing and jumped off a ski feature, called a box, landing on his right leg. He developed immediate pain in his mid tibia and was unable to bear weight on his right leg. On arrival in the ED he has tenderness over the mid tibia with edema and ecchymosis. No tenderness over the ankle, knee, femur and no evidence of injury elsewhere. He is Neurovascularly intact distal to the injury. XRs of the tibia were done in the ED (Image 1).
Read More...
Small Jumps, Big Breaks
May 13, 2025
Not so Hip
An 18-year-old male presented to the Emergency Department after a motor vehicle collision at unknown speeds. Patient was the restrained driver, airbags did deploy, and he’s unsure if he lost consciousness. He is primarily complaining of bilateral hip and right hand pain with notable obligate abduction and external rotation of the right lower extremity on initial inspection.
Read More...
Not so Hip
April 30, 2025
Segond Thoughts: A Clue to Something Bigger
A 25-year-old male presents with right knee pain after a non-contact pivoting injury during a soccer game; he reports hearing a pop.
Read More...
Segond Thoughts: A Clue to Something Bigger
April 23, 2025
Pull to Start
A 59-year-old male with a history of DVT on Eliquis presents to the emergency room with severe shoulder pain. The patient had been pushing his car when he fell onto his outstretched arms. His son subsequently pulled on his right arm to attempt to “relocate” it. During this, the patient experienced sudden worsening pain with his right arm becoming stuck above his head with the onset of numbness and tingling in his right arm.
Read More...
Pull to Start
April 16, 2025
Oh Snap
A 14-year-old male presents for left medial elbow pain after pitching during a baseball game the night before when he felt a snap in his left elbow during a pitch. He continued to feel a sharp pain with every subsequent pitch in the medial elbow. He has point tenderness on the medial aspect of his left elbow and pain with elbow extension but full ROM. He has tried OTC anti-inflammatory medications and icing at home with mild relief.
Read More...
Oh Snap
April 09, 2025
Shoulder Check: A common skier's shoulder injury
A 38-year-old female presents to the ski clinic for left shoulder pain after a fall while skiing. Her ski caught an edge causing her to fall directly onto her left shoulder. She now has significant pain in the left shoulder that increases with attempt at forward flexion and adduction at the shoulder. She denies any other associated symptoms.
Read More...
Shoulder Check: A common skier's shoulder injury
April 02, 2025
The Floating Elbow
A 30-year-old male with no pertinent medical history presented as a trauma after a motorcycle crash where he was traveling approximately 70 mph. The patient was cut off by another vehicle, and flew off his bike going airborne unknown feet, landing onto his outstretched hands. He is primarily complaining of left arm pain.
Read More...
The Floating Elbow
March 26, 2025
Dropping the Ball
A 20-year-old college basketball player presents to the Emergency Department after a syncopal event at practice. He was found pulseless by the athletic trainer, who initiated chest compressions, and achieved ROSC after delivering 1 shock via AED.
Read More...
Dropping the Ball
March 19, 2025
A Sudden Turn of the Ankle
A 77-year-old presents to the ED for evaluation of right ankle pain, which occurred approximately 1 hour prior to arrival after making a sharp right turn with his foot planted in the restroom. He had sudden onset pain. He reports normal sensation over the right foot and is neurovascularly intact. An obvious open deformity is noted to the right ankle.
Read More...
A Sudden Turn of the Ankle
March 12, 2025
Pedal to the Metal
A 32-year-old female presents to the emergency department with right ankle pain after a high-speed motor vehicle accident. On exam, she is noted to have ecchymosis and swelling over the dorsal foot, and pain with ankle dorsiflexion and plantarflexion.
Read More...
Pedal to the Metal
February 26, 2025
Hold On Tight!
A 34-year-old female presents after a waterslide accident. She was traveling down a water slide with her fourth and fifth digits of her right hand in the handle of the inner tube when the inner tube was ripped out from under her at the bottom of the slide. She instantly noted pain and swelling in the middle of her hand. She complains that she can not make a fist.
Read More...
Hold On Tight!
February 19, 2025
Acute Shoulder Pain After a Fall
An 80 year-old female tripped over her cat at home. This caused her to fall, hitting her right shoulder on the counter on the way to the floor. She is complaining of right shoulder pain and denies hitting her head or LOC. X-rays obtained in the Emergency Department are shown below.
Read More...
Acute Shoulder Pain After a Fall
February 12, 2025
Can’t Climb a Tree
A 35-year-old male with past medical history of Crohn’s disease presents to the ED for insidious lower back pain worse with prolonged exertion, climbing stairs, and morning stiffness. He reports some relief with movement and NSAIDs, but the pain has progressively worsened over the past few months.
Read More...
Can’t Climb a Tree
February 05, 2025
Achilles Heel - Kager’s Fat Pad
A 25-year-old male with no medical history presents with left foot pain after a soccer injury yesterday. He states he was running when he felt a sudden “pop” to the posterior aspect of the left ankle and thought someone had kicked him. He is complaining of mild pain localized to the posterior ankle though has been ambulating with pain.
Read More...
Achilles Heel - Kager’s Fat Pad
January 29, 2025
Calf-inated
A 45-year-old male presents with pain in the posterior right calf after falling forward while skiing. He now has pain with ambulation. He has pain with passive dorsiflexion of the ankle, pain with resisted plantar flexion, but preserved plantar flexion with squeeze of calf muscles.
Read More...
Calf-inated
January 22, 2025
Too much send
An 18-year-old male presents with left ankle pain after overshooting the landing of a large jump while snowboarding.
Read More...
Too much send
January 15, 2025
I declare a thumb war
A 39-year-old female presents to the emergency department with right thumb pain after falling in a skiing accident. On exam, there is mild swelling, tenderness on the ulnar aspect of the 1st MCP joint. Additionally, there is laxity with valgus stressing of the 1st MCP joint.
Read More...
I declare a thumb war
January 08, 2025
The Heel Deal
A 57-year-old male with a history of alcohol induced cirrhosis presents to the ED w/ 10 days of reported L foot pain after fall from 6 foot ladder, landing directly onto his left foot. Since his injury, he has noticed increasing redness and swelling to the posterior aspect of the foot beginning approximately 4 days after the fall. He has been using a walker that he borrowed from his friend to assist in ambulation. He denies any knee pain or back pain.
Read More...
The Heel Deal
December 25, 2024
Foosh there it is
A 72-year-old woman presents to the emergency department with right wrist pain and swelling. She states that she was crossing the street when she fell and attempted to brace herself with her right hand.
Read More...
Foosh there it is
December 18, 2024
Red Hot Wrist
The patient is a 74-year-old male with a PMH of diabetes, and hypersensitivity pneumonitis on chronic prednisone who presented with fevers and right wrist pain. He had a cortisone injection in his right wrist 4 days prior. The patient reports pain, swelling, and erythema of the right wrist. Pain is worse with movement. He denies trauma to the wrist. His distal neurovasculature is intact. He is febrile to 38.5C, tachycardic (HR:130), tachypnic (RR: 25), and hypoxic requiring oxygen (85% room air).
Read More...
Red Hot Wrist
December 04, 2024
To Immobilize or Not to Immobilize: That is the Question
A patient presents to the Emergency Department after sustaining a twisting knee injury while skiing. She felt a pop and was unable to bear weight afterwards secondary to pain and instability. Shortly after the injury, she noted increased swelling and pain. On examination, she has a moderate effusion and a positive Lachman test.
Read More...
To Immobilize or Not to Immobilize: That is the Question
November 27, 2024
Pain in the Butt
A 48-year-old female with no pertinent past medical conditions presents for ongoing pain in the gluteal region which is worse on the right compared to the left. Pain is dull/aching in nature but at times describes it as a burning sensation. She denies any recent trauma. She states it is worse when lying on her side, when she goes for a jog, and when she squats. She has been taking non-steroidal anti-inflammatories (NSAIDs) but states the pain has been getting more and more prominent. On exam, she has point tenderness along the right lateral hip. She has a negative straight leg test, and a positive FABER. X-ray of the hip seen below in Image 1 was obtained which was unremarkable.
Read More...
Pain in the Butt
November 20, 2024
Foot Doesn’t Work Right
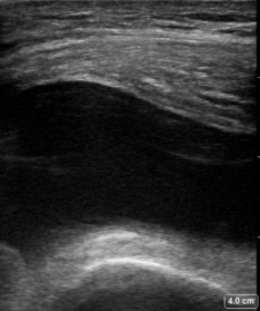
A 35-year-old male felt a painful “pop” in his posterior left lower leg while playing football. Afterwards his “foot didn’t work right anymore.” X-ray of the left ankle and tib/fib are normal but he is unable to ambulate. You place an ultrasound over the area of maximal tenderness and discover the following:
Read More...
Foot Doesn’t Work Right
November 13, 2024
Knee Deep
A 40 year-old male with no medical history presented for right knee pain after his knee was struck by a skylight while at work. He has had pain for three days, unrelieved with home medications, however has been ambulating with steady gait. He ultimately presented to the Emergency Department for ongoing pain.
Read More...
Knee Deep
November 06, 2024
Let the Feet Drop
A 72-year-old male with history of diabetes and rheumatoid arthritis presents with inability to dorsiflex his left foot after relaxing with his feet on his desk and hearing a “pop” upon standing. On exam, he has swelling and a palpable mass of the anterior ankle.
Read More...
Let the Feet Drop
October 30, 2024
In a Jam
A 20 year old soccer player with left great toe pain, swelling, and bruising after a kick in a game the previous night where he stated “I jammed my toe.”
Read More...
In a Jam
October 23, 2024
Only sort of broken
A 9-year old male soccer goalie presented to the emergency department with a complaint of forearm pain following a fall on outstretched arm during practice. Pain was located in the mid-distal radius, proximal to the wrist. There was minimal pain with wrist flexion and extension. No pain with movement of the elbow. There is significant tenderness to palpation in a small area of the mid-distal radius without any tenderness proximal or distal to this area. No deformity of the forearm noted. Bedside ultrasound (Image 1) of the area of tenderness is shown below.
Read More...
Only sort of broken
October 16, 2024
The Other Type of Pediatric Knee Pain
A 9-year-old previously healthy male presented to the emergency department with anterior knee pain after kicking a ball at school. Patient was ambulatory at the school and in the ED although limping due to pain. Patient is an avid soccer player and has not had any previous knee injuries or issues related to knee pain. Physical exam showed a normal appearing knee with point tenderness at the inferior pole of the patella and proximal patellar tendon, painful but intact knee extension and painful ambulation with some mild limping. Distal neurovascular exam intact.
Read More...
The Other Type of Pediatric Knee Pain
October 09, 2024
Shouldering Too Much of the Load
A 13-year-old male with no PmHx presents with 3 weeks of progressive shoulder pain. No direct trauma or injury was reported, but the patient reports that the pain began after pitching in a game in which he threw more pitches than usual and during which he exceeded his pitch count. Physical examination was remarkable for significant tenderness to palpation on the lateral aspect of the proximal humerus. Intact ROM and strength, no clavicular or acromial tenderness.
Read More...
Shouldering Too Much of the Load
October 02, 2024
Arcuate Sign
A 50-year-old female patient presents to the ED with left knee pain after suffering a hyperextension injury to the left knee. She was walking down steps and reports she internally rotated and hyperextended the knee with immediate pain.
Read More...
Arcuate Sign
September 25, 2024
Not So Typical Hip Dislocation
A 20-year-old female presents to the ED after MVC with left hip pain. Notably her leg was up on the dash of the car when the accident occurred. Unable to ambulate since the accident and her pain is constant and worse with attempted movement. She notes muscle spasms around her left hip region. She was lying on the stretcher with the affected lower extremity abducted, slightly flexed and externally rotated without obvious shortening. On log roll testing she reported significant pain especially in the anterior groin region.
Read More...
Not So Typical Hip Dislocation
September 19, 2024
Time is Tissue
A previously healthy 14-year-old right-handed male presented to the children’s emergency department with acute onset swelling of the left hand. He awoke in the morning with left palmar swelling and purple discoloration. Over a few hours, the patient’s swelling spread to the distal fingertips and proximally to the left distal forearm. He denied any IV drug use, use of steroids, or recent trauma. Upon arrival at the ED, the patient was hemodynamically stable and afebrile, but his left wrist and fingers were in a flexed position and held upright against the gurney at rest (Image 1). The patient had prominent circumferential swelling from his distal forearm to the fingertip with diffuse tenderness to palpation along the volar forearm, wrist, and hand. He was unable to actively extend his left wrist and digits due to pain. With passive wrist and finger extension, he reported excruciating pain.
Read More...
Time is Tissue
September 11, 2024
Bent my bars and my wrist
A 32-year-old female presents to the ED for right wrist pain after a crash in a rock garden during a downhill mountain biking race. She has significant pain in her right wrist but denies any other pain or symptoms including numbness or tingling.
Read More...
Bent my bars and my wrist
September 04, 2024
Not So Simple Ankle Dislocation - Sub Talar Trauma
A 45-year-old male was involved in a high-speed interstate MVC rollover accident. Left lower extremity with obvious deformity and open injury.
Read More...
Not So Simple Ankle Dislocation - Sub Talar Trauma
August 28, 2024
Back it Up - Addressing Low Back Pain
A 58-year-old male presents to the Emergency Department complaining of low back pain, progressively worse over the last few days. He states that he first noticed the pain after work about two weeks ago and seems to be worse with movement. He has tried heating pads and tylenol with little improvement.
Read More...
Back it Up - Addressing Low Back Pain
August 21, 2024
Cutting Edge Blade Encounters: A Review on Hand Anatomy
A 56-year-old male patient presented to the ED after sustaining a circular saw injury to his left hand. He is right hand dominant. The saw lacerated the palmar/volar surface from the wrist joint to the proximal phalanx of the thumb. On exam he is able to extend against resistance with his thumb at the IP joint, is able to cross-fingers/abduct fingers against resistance, but is unable to initiate palmar abduction of the thumb as well as flexion of the thumb IP and index DIP (“A-OK sign”). He also reports decreased sensation throughout the thumb.
Read More...
Cutting Edge Blade Encounters: A Review on Hand Anatomy
August 14, 2024
Ditch Dislocation
A 46-year-old male fell into a ditch at a height of approximately 6-7 ft per EMS. He presented to the ED with obvious left ankle deformity seen below.
Read More...
Ditch Dislocation
July 31, 2024
Snap and Shift: The Hip Avulsion Saga
A 15-year-old male presented to the emergency department with acute left hip pain after playing basketball. The patient experienced a sharp pain in the left anterior hip after making an abrupt twisting movement while trying to take the ball from his opponent and is now unable to bear weight. He denies numbness, tingling, or other traumas, but reports left leg weakness and pain.
Read More...
Snap and Shift: The Hip Avulsion Saga
July 24, 2024
Could You Lend Me a Hand?
An 18-year-old presents with R hand pain and swelling after a tackle resulted in him landing on his hand with his full weight during a rugby match. His x-ray is below.
Read More...
Could You Lend Me a Hand?
July 17, 2024
Twist and Shout: A Stressed Out Ankle
A 20-year-old female presents with right ankle pain after a ground level mechanical fall. She has tenderness to palpation of her right lateral malleolus with associated swelling. She was unable to ambulate after her fall.
Read More...
Twist and Shout: A Stressed Out Ankle
July 10, 2024
Behind the Knee Pain
A 44 year old male with a PMHx of hypertension, presents to the emergency department with a 3 month history of right knee pain and swelling. Patient installs carpet for a living. Pain is worse when kneeling, better with rest. Patient has taken ibuprofen intermittently for symptomatic relief. Patient tried to see his primary care provider but they did not have any openings.
Read More...
Behind the Knee Pain
July 03, 2024
Notch Your Average Sign
A 37-year-old female presented to the ED for left knee swelling and pain after a ground level mechanical fall with possible twisting injury. Patient states she was pushed to the ground and struck her left knee on the concrete, feeling immediate pain and swelling.
Read More...
Notch Your Average Sign
June 26, 2024
Popeye’s Peril: The Biceps Blowout
A 38 year male with no significant past medical history presents for right elbow pain after a skydiving injury. He states that while he was trying to adjust his chute, a gust of wind caught his chute and his arm was jerked straight and he thinks he heard a pop. He has pain and weakness with opening jars. He denies numbness or tingling. On exam his arm appears like Image 1. He has ecchymosis on the medial aspect of his arm. Motor strength reveals 4 / 5 flexion and 3 /5 supination with pain. When his arm is flexed to 90 and he supinates against resistance, there is no cord-like structure on palpation. Radiographic imaging is normal.
Read More...
Popeye’s Peril: The Biceps Blowout
June 19, 2024
MCP, are you with me?
A 50-year-old right-handed male presented to the emergency department with finger pain in his right hand following a fall. The incident occurred as he was disembarking from a cruise ship and tripped while descending an escalator, resulting in a tumble. The patient's sole complaint is pain and deformity in his finger.
Read More...
MCP, are you with me?
June 12, 2024
The Forgotten Joint
A 51-year-old man complains of right-sided lower neck/chest pain and deformity after a trip and fall onto his right shoulder while playing basketball. The patient is otherwise asymptomatic. Examination reveals a palpable bump right of the sternum with tenderness to palpation.
Read More...
The Forgotten Joint
June 05, 2024
A Real Kick in the Hip
A 7-year-old male presents with progressively worsening left hip pain and limp when playing soccer. Pain was previously relieved by rest but has now become constant.
Read More...
A Real Kick in the Hip
May 29, 2024
Open Up That Fracture
A 65 year old farmer presents to the ED after his ankle was run over by a piece of farm equipment in the field. His x-ray is shown below and he has an associated soft tissue injury overlying the area that is grossly contaminated with mud and manure.
Read More...
Open Up That Fracture
May 22, 2024
Mid-shafted
A 29-year-old male presents to the ED with left arm pain after he fell sideways off his bike mountain biking up a steep incline
Read More...
Mid-shafted
May 15, 2024
Acute on Chronic A-vault-ion Injury
An 8-year-old dancer presents for acute left knee pain. She has had atraumatic anterior pain in this same knee over the last 6 months that was worse with activity. Today however she had acute severe pain after vaulting a stunt. She points to the anterior knee and is not wanting to walk.
Read More...
Acute on Chronic A-vault-ion Injury
May 08, 2024
Hold Your Horses!
A 22-year-old female presents to the Emergency Department with traumatic left 5th digit pain. She was in a horse racing competition when she awkwardly pinned her hand against the back of her horse. On exam, there is an obvious deformity of the 5th digit with tenderness to palpation of the proximal phalanx. Patient has diminished sensation to the fingertip. She has good capillary refill and no evidence of open injury.
Read More...
Hold Your Horses!
May 01, 2024
Watch That Ankle Like a Hawk
A 16-year-old male was transferred from an outside hospital to the emergency department with severe right ankle pain after landing awkwardly in ankle inversion, while playing volleyball. He was unable to walk and had right ankle deformity. On exam, he had a normal distal pulse and capillary refill, intact sensation, and could move his toes. Plain films of the patient’s right ankle were obtained.
Read More...
Watch That Ankle Like a Hawk
April 24, 2024
Sorry, Caught it on Your Jersey
A 19-year-old male D1 football player presents with left ring finger pain and inability to flex the DIP joint after getting his finger stuck on an opponent's jersey during the game last night.
Read More...
Sorry, Caught it on Your Jersey
April 17, 2024
Higher the Pressure Higher the Stakes
A 37-year-old male presents after accidentally shooting a high pressure paint gun into his right index finger at work. The paint was water based. He denies pain, there is no swelling, and he has full range of motion without pain at arrival to the ED.
Read More...
Higher the Pressure Higher the Stakes
April 10, 2024
Ankle Breakers
A 49-year-old female presents with right ankle pain after a ground level fall. She has been unable to ambulate since the incident. On exam, there is mild swelling to the distal ankle with tenderness to palpation of the lateral malleolus. Plantar- and dorsiflexion of the ankle are limited due to pain. There are no open wounds visualized and the ankle is warm and well perfused.
Read More...
Ankle Breakers
April 03, 2024
Neck Tears
A 40-year-old male presents with neck pain after a high speed motor vehicle collision. You obtain x-rays (Image 1).
Read More...
Neck Tears
March 27, 2024
Is That My Toe?
A 40-year-old female presents for left 1st toe pain. She had her toes curled when someone stood up and pushed off of her, pushing her toes into the ground and creating a deformity.
Read More...
Is That My Toe?
March 20, 2024
But it’s my Shoulder!
Patient is a 55 year old male presenting to the ED with right shoulder pain. He states the pain has been ongoing for several weeks and worsening over time. He does not have any point areas of pain, but describes it as more diffuse. There are no aggravating or relieving factors.
Read More...
But it’s my Shoulder!
March 13, 2024
Un-lucky back pain
A 35 year old male is BIBA after MVA. The patient was wearing a lap belt without a shoulder harness and is now complaining of abdominal and back pain. Physical exam shows an abdominal seatbelt sign with pain in the abdomen and upper lumbar spine. CT is shown below.
Read More...
Un-lucky back pain
March 06, 2024
Bowing out of the Tournament
A 15-year old male presents with right elbow pain and deformity after injury sustained during a wrestling tournament. He has a large joint effusion and prominent olecranon, and is otherwise neurovascularly intact.
Read More...
Bowing out of the Tournament
February 28, 2024
Stepping into Understanding: Navigating the World of Navicular Stress Fractures
A 24-year-old male basketball player presents to the ED with right dorsal mid-foot pain after a week of daily intensive practices. The pain is worsened by use. Dorsalis pedis pulses are 2+ and the range of motion/sensation of the foot is intact.
Read More...
Stepping into Understanding: Navigating the World of Navicular Stress Fractures
February 24, 2024
Water Bath Technique
A 37 year old male is complaining of left hand pain after he got a wooden splinter in it 3 months ago. You obtain an ultrasound image of the area using a water bath technique with the findings below.
Read More...
Water Bath Technique
February 21, 2024
Stuck in the Shoulder: Thawing Out the Mystery of Shoulder Pain
A 54-year-old female with a history of type 2 diabetes presents to the ED with severe left shoulder pain after she woke up this morning. She denies any falls or trauma. On exam, she has marked reduced range of motion in all planes, most notably 25° with external rotation. Radiograph reveals the following:
Read More...
Stuck in the Shoulder: Thawing Out the Mystery of Shoulder Pain
February 14, 2024
I Just Ran a Marathon and Now I Can’t Walk
A 28 year old male just ran a personal record in the Chicago marathon. The next morning he wakes up with severe pain on the lateral aspect of his left foot. He’s having trouble bearing weight and walking due to the pain. He goes to a walk-in orthopedic clinic and an X-ray of his foot is shown below.
Read More...
I Just Ran a Marathon and Now I Can’t Walk
February 07, 2024
Tolerate More Than Pain
A 10-year-old male presents for right wrist pain after a fall while snowboarding. There is pain, swelling, and a deformity but he is neurovascularly intact.
Read More...
Tolerate More Than Pain
January 31, 2024
The Tooth of the Cervical Spine
An 80 year-old male patient BIBA for a witnessed fall. Cervical collar was placed by EMS because of midline neck pain. Patient is neurologically intact. CT of the cervical spine is shown below.
Read More...
The Tooth of the Cervical Spine
January 24, 2024
Kitchen Nightmares
A 44-year-old male presents with a left finger laceration sustained while cutting vegetables. He is right-hand dominant and up-to-date on his tetanus. On exam, there is a 3 cm zone 2 laceration across the base of the left pointer finger. The patient is unable to flex the affected digit at both the DIP and PIP joints. He endorses diminished sensation to the distal fingertip. He has good capillary refill and no evidence of arterial bleeding.
Read More...
Kitchen Nightmares
January 17, 2024
Where’d that tree come from?
A 29-year-old male presents to the ED with shoulder and back pain. He was lying in a hammock when the tree it was attached to broke and fell on top of him.
Read More...
Where’d that tree come from?
January 10, 2024
Not So Humerus
An 87-year-old woman presents after a mechanical fall onto her outstretched right arm. Physical exam showed swelling of the upper right arm from the elbow to shoulder and palpable deformity. Radial and ulnar pulses are 2+ and gross sensation is intact in the right upper extremity.
Read More...
Not So Humerus
January 03, 2024
Twisting Tales: Unraveling the Complexities of the Galeazzi Fracture
A 30-year-old male presents to the ED after a motorcycle accident. You find a wrist deformity on his exam. There is a 2+ radial pulse and motor/sensation of the hand is intact.
Read More...
Twisting Tales: Unraveling the Complexities of the Galeazzi Fracture
December 27, 2023
Stings Like a Bee
A 16 year old male presents to the ED with complaints of right upper extremity weakness, pain, and paresthesias after falling and striking his head during a football game. No loss of consciousness.
Read More...
Stings Like a Bee
December 20, 2023
No Longer Hip
A 77-year-old female with past medical history significant for Parkinson’s disease and hypertension presents to the ED after a mechanical fall upon getting into bed. Since that time, she has endorsed left hip pain and inability to ambulate.
Read More...
No Longer Hip
December 13, 2023
The Gas Pedal is Connected to the Heel Bone
A 36-year-old male was involved in a motor vehicle collision. The patient was the restrained driver in a head-on collision at highway speeds. He experienced bilateral heel pain. Plain films of the patient's left and right calcaneus were obtained.
Read More...
The Gas Pedal is Connected to the Heel Bone
December 06, 2023
A Real Pain in the Butt
A 26-year-old golfer presents with left gluteal pain and paresthesias to the lower leg. Symptoms have been ongoing for the 2 weeks but acutely worsened after a ground level fall while trail running. He has a positive straight leg and crossed straight leg test, as well as weakness with dorsiflexion of the big toe and ankle.
Read More...
A Real Pain in the Butt
November 29, 2023
Hips Don’t Lie
A 73 year old male presents to the ED with chief complaint of right hip pain. He reports no injury or falls. He states he attempted to rise out of his vehicle just before going to physical therapy. He endorses he went to lift his right leg slightly and stated, “I felt a pop.”
Read More...
Hips Don’t Lie
November 22, 2023
Foosh There It Is
A 32 yo M patient presents after a fall from his bike. He braced his fall by extending his right arm to absorb the impact. He complains of persistent pain on his thenar eminence and is able to flex and extend his wrist. He experiences increased pain with axial loading on an extended wrist. Plain films of the patient’s right hand were obtained.
Read More...
Foosh There It Is
November 15, 2023
Diver’s Nightmare
A 27 year old male presents with neck pain after diving headfirst into shallow waters. He has midline tenderness and a normal neurological exam. CT of the cervical spine is shown below.
Read More...
Diver’s Nightmare
November 08, 2023
My Bladder, My Back
68 year old male PMH significant for diabetes, spinal arthritis, and recurrent urinary tract infections presents to the Emergency Department with 5 weeks of dysuria and low flank pain. He reports subjective fevers and chills, but denies nausea, vomiting, or trauma. Plain films of the lumbar spine were obtained (Image 1).
Read More...
My Bladder, My Back
November 01, 2023
When Striking the Right Cord is Just Too Painful
A 45 year old male guitar player comes into the clinic due to pain in his right 5th finger on the lateral aspect. He describes the pain is worse when playing guitar, especially when his fifth finger is over the cord he is playing. He reports he visited a local ER about one week ago following a fall from his bike, where he had plain radiographs taken and was sent home without care instructions. Exam shows minimal tenderness to palpation over the radial PIP joint of the 5th digit, otherwise nontender. Significant laxity is present when valgus stress is applied to the PIP joint of the finger.
Read More...
When Striking the Right Cord is Just Too Painful
October 25, 2023
Get a Grip
A 23 year-old male presents to the emergency department for right hand pain. He was downhill skiing when he got tangled in his poles and fell onto his outstretched hand. He has ongoing pain at the base of his thumb, aggravated by gripping objects. He denies numbness or tingling.
Read More...
Get a Grip
October 18, 2023
El-bow Out of This One
A 65-year-old male presents with left elbow and forearm pain and deformity after falling on the soccer field when attempting a scissor kick. He fell onto his outstretched arm with his elbow flexed and supinated.
Read More...
El-bow Out of This One
September 13, 2023
Metatarsal Madness
A 57-year-old female presented to the emergency department with complaints of severe pain in her right foot after twisting her ankle earlier today. She denies any numbness or tingling, but has had difficulty walking due to the pain.
Read More...
Metatarsal Madness