What's the scoop
Author: Brandon Godfrey, MD
Peer-reviewer: Katie Dolbec, MD
Final editor: Alex Tomesch, MD
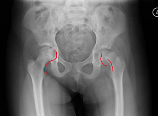
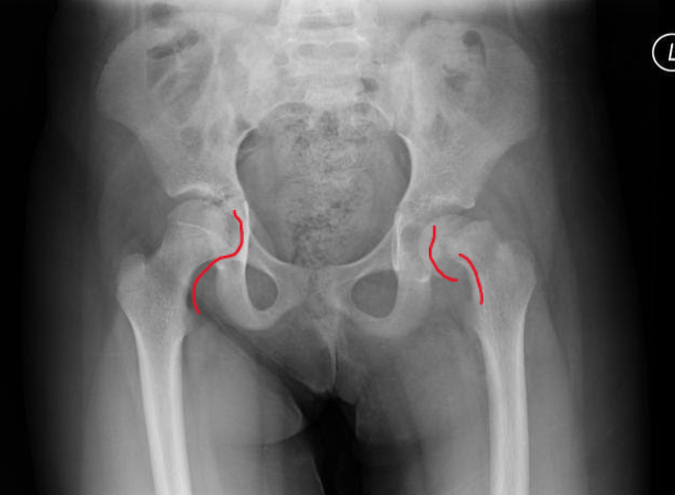
A 13-year-old obese female has had a limp for 3.5 weeks. Her x-ray is shown below.
Image 1. Case courtesy of Dr. Subhan Iqbal and Assoc Prof Frank Gaillard, Radiopaedia.org, rID: 2056
References
[1] Setia R, Gaillard F. Line of Klein. https://radiopaedia.org/articles/line-of-klein?lang=us. Accessed May 29, 2021.
[2] Monseau AJ, Balcik BJ. Pelvis, Hip and Thigh. In: Waterbrook A, ed. Sports Medicine for the Emergency Physician A Practical Handbook. Cambridge University Press; 2016: 167-207.
[3] Glavas P.P., Horn B.D. (2012) Slipped Capital Femoral Epiphysis. In: Abzug J., Herman M. (eds) Pediatric Orthopedic Surgical Emergencies. Springer, New York, NY. https://doi-org.ezproxy4.library.arizona.edu/10.1007/978-1-4419-8005-2_13
[4] Rebich EJ, Lee SS, Schlechter JA. The S Sign: A New Radiographic Tool to Aid in the Diagnosis of Slipped Capital Femoral Epiphysis. J Emerg Med. 2018 Jun;54(6):835-843. doi: 10.1016/j.jemermed.2018.01.023. Epub 2018 Mar 15. PMID: 29550284.

